Dream Smiles Dental, 2 Thomas Holden Street, Bolton, BL1 2QG
Dr Naveed Patel is a leading provider of the Invisalign system in Bolton, Cheshire with many years of experience treating a wide variety of patients and cases and has achieved Platinum provider status.
Invisalign® is a clear, removable orthodontic aligner system that gradually moves the teeth into the perfect position and aligns your teeth into a beautiful straight smile. It is a discreet pain free system.
Dr Naveed will assess your need and suitability for treatment discussing the advantages of treatment for you. A state of the art scan and photographs will be taken and a simulation of your before and after will be presented to you so you can visualise your end result.
A detailed 3D video animation will be created which will visibly show you how the teeth will move into the position we have prescribed step by step. The clincheck will tell us how long the treatment process will take to the week so that we can categorise your Invisalign band:
We will fit the aligners with attachments that are shown on the ClinCheck plan, we will direct you on how to wear the aligners and the frequency of changing them which is 1 week.
We will arrange the necessary review appointments so that we can ensure the progress of the treatment is working to the ClinCheck plan.
At the end of the treatment, the newly formed smile will need to be held into place using Vivera® retainers. Again, the retainers are clear and will need to be worn every night.
Once the treatment is completed we will show you before and after pictures so that you can see the transformation of your smile, you can view some of our cases in our smile gallery. To add some finishing touches to your teeth you can consider teeth whitening and composite edge bonding to fix any worn edges which can be discussed post-treatment.

![]()
"I had several dental issues and several dentists had tried to fix my problems but I didn't get very far. I came across Dr Naveed on Instagram and got myself booked in. From the offset I could tell I was under the care of someone who really knew what...Read More"
"I had neglected my teeth for years. It took a serious bout of pain and infection for me to take the first step. At the offices where I work I had heard some colleagues talking about Dr Naveed and the smile makeovers they had, I took his details and m...Read More"
"Straight talking and friendly staff with the skills to back up the name. Dr Naveed Patel, what can I say, his time and effort to give me my smile back which is unnoticeable to everyone (which is a good thing if you’re getting an implant fitted in a...Read More"
"I travelled all the way from Farnbrough Hampshire to Manchester to have my treatment done under Dr Naveed. The way his team scheduled all my appointments was fantastic to minimise the number of journeys. Now my treatment is complete I can say the tra...Read More"
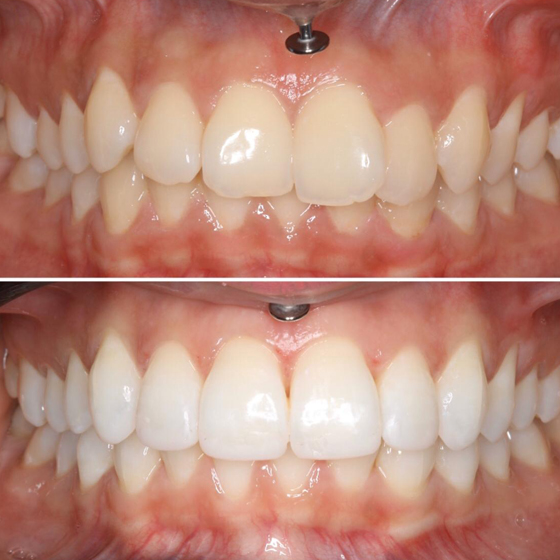
Amazing result to straighten the teeth and create a beautiful smile using the Invisalign system.
Read MoreThis gentleman was unhappy with the crossing over of his front teeth. We managed to straighten and whiten these teeth in 6 months using Invisalign.
Read MoreStraightening, whitening and edge bonding to achieve this beautiful result.
Read MoreThis young gentleman in his 20's wished he had braces as a teenager. It is never too late, we managed to straighten and whiten them filling him full of confidence.
Read MoreA cross bite is where the top teeth bite behind the bottom teeth as can be seen here. We corrected this using the Invisalign system creating perfect straight teeth.
Read MoreA wonderful smile designed using Invisalign, whitening and edge bonding. Life changing for the patient.
Read MoreA beautiful makeover with Invisalign, boutique whitening and composite edge bonding.
Read MoreA lovely natural smile made using the Invisalign system to straighten the teeth.
Read MoreThis gentleman wanted to show more tooth and have a straighter, whiter smile. We managed that with Invisalign and whitening in just 4 months.
Read MoreSometimes the subtle changes make all the difference. The shape of the front teeth was very flared, we corrected this and straightened her teeth resulting in a gorgeous natural smile.
Read More